Blast Lung Injury
Background
Blast lung injury (BLI) presents unique triage, diagnostic, and management challenges and is a direct consequence of the blast wave from high explosive detonations upon the body. BLI is a major cause of morbidity and mortality for blast victims both at the scene and among initial survivors. The blast wave’s impact upon the lung results in tearing, hemorrhage, contusion, and edema with resultant ventilation-perfusion mismatch. BLI is a clinical diagnosis and is characterized by respiratory difficulty and hypoxia, which may occur without obvious external injury to the chest.
Current patterns in worldwide terrorist activity have increased the potential for casualties related to explosions, yet few civilian health care providers in the United States have experience treating patients with explosion-related injuries. Emergency care providers are urged to learn more about the physics of explosions and other types of injuries that can result. Basic clinical information is provided here to inform practitioners of the presentation, evaluation, management, and outcomes of BLIs. Please see the reference list below for more information about how to treat injuries from explosions.
Clinical Presentation
- Symptoms may include dyspnea, hemoptysis, cough, and chest pain.
- Signs may include tachypnea, hypoxia, cyanosis, apnea, wheezing, decreased breath sounds, and hemodynamic instability.
- Associated pathology may include bronchopleural fistula, air emboli, and hemothoraces or pneumothoraces.
- Other injuries may be present.
Diagnostic Evaluation

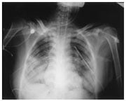
Photo courtesy of Chest, 1999 |
Chest radiography is necessary for anyone who is exposed to a blast. A characteristic "butterfly" pattern may be revealed upon x-ray. - Arterial blood gases, computerized tomography, and doppler technology may be used.
- Most laboratory and diagnostic testing can be conducted per resuscitation protocols and further directed based upon the nature of the explosion
(e.g. confined space, fire, prolonged entrapment or extrication, suspected chemical or biologic event, etc).
Management
- Initial triage, trauma resuscitation, treatment, and transfer should follow standard protocols; however some diagnostic or therapeutic options may be limited in a disaster or mass casualty situation.
- In general, managing BLI is similar to caring for pulmonary contusion, which requires judicious fluid use and administration ensuring tissue perfusion without volume overload.
- Clinical interventions
- All patients with suspected or confirmed BLI should receive supplemental high flow oxygen sufficient to prevent hypoxemia (delivery may include non-rebreather masks, continuous positive airway pressure, or endotracheal intubation).
- Impending airway compromise, secondary edema, injury, or massive hemoptysis requires immediate intervention to secure the airway. Patients with massive hemoptysis or significant air leaks may benefit from selective bronchus intubation.
- Clinical evidence of or suspicion for a hemothorax or pneumothorax warrants prompt decompression.
- If ventilatory failure is imminent or occurs, patients should be intubated; however, caution should be used in the decision to intubate patients, as mechanical ventilation and positive end pressure may increase the risk of alveolar rupture and air embolism.
- High flow oxygen should be administered if air embolism is suspected, and the patient should be placed in prone, semi-left lateral, or left lateral positions. Patients treated for air emboli should be transferred to a hyperbaric chamber.
Disposition and Outcome
- There are no definitive guidelines for observation, admission, or discharge following emergency department evaluation for patients with possible BLI following an explosion.
- Patients diagnosed with BLI may require complex management and should be admitted to an intensive care unit. Patients with any complaints or findings suspicious for BLI should be observed in the hospital.
- Discharge decisions will also depend upon associated injuries, and other issues related to the event, including the patient’s current social situation.
- In general, patients with normal chest radiographs and ABGs, who have no complaints that would suggest BLI, can be considered for discharge after 4-6 hours of observation.
- Data on the short and long-term outcomes of patients with BLI is currently limited. However, in one study conducted on survivors one year post injury, no patients had pulmonary complaints, all had normal physical examinations and chest radiographs, and most had normal lung function tests.
Photo Source: Reprinted by permission from Chest. X-ray Figure I in "Recovery from Blast Lung Injury: One year follow-up", by Hirshberg, Boaz, MD, et al. Dec 1999, Vol 116(6), p 1683-88.
This fact sheet is part of a series of materials developed by the Centers for Disease Control and Prevention (CDC) on blast injuries. For more information, visit CDC on the Web at: www.emergency.cdc.gov/BlastInjuries.
U.S. Department of Health and Human Services
Centers for Disease Control and Prevention
June 2009