Simulation Cases

We encourage you to access and utilize these cases for the creation of ultrasound-focused simulation scenarios and educational materials. These cases are designed to highlight crucial teaching points within the realm of emergency medicine, showcasing how ultrasound can be a lifesaving tool. All the resources are conveniently available as downloadable images, video, DOC, and PDF formats for your convenience.

  • Crashing LVOT Obstruction – Andrew Hill, DO; Robert T. Stenberg, MD, FACEP
  • Ocular Pathology – Papilledema – Luke R. Leggett MD; Jeremy J. Webb MD
  • Retinal detachment – Patsy Chenpanas, MD
  • Massive PE with RV Failure – Abdoulie Gaye, DO; Robert T. Stenberg, MD, FACEP
  • Ureteral Obstruction – Diana Resop, MD
  • Testicular Torsion – Xiao Jing Zhang, MD; Sara Goldstein, DO; Steph Jose, DO; Mathew Nelson, DO, FACEP; Tiffany Moadel, MD
  • TEE Cardiac Arrest: Aortic Dissection – Michael R. Jones, MD
  • Small Bowel Obstruction – Kristen Caine, DO; Amanda Dalpiaz, DO; Philip Giarrusso, DO; Mathew Nelson, DO, FACEP; Tiffany Moadel, MD
  • Deep Vein Thrombosis – Ryan Smolin, MD; Justin Stowens, MD
  • Necrotizing Fasciitis – Jia Jian Li, MD
  • Peritonsillar Abscess – Michael Jones, MD
  • Urinary Obstruction – Matthew Kongkatong, MD
  • Vitreous Hemorrhage – Christi Brown, MD; Justin Stowens, MD, FACEP
  • Ruptured AAA – Alice Chao, MD
  • Aortic Dissection – Anita Rohra, MD, FACEP
  • Appendicitis – Arthur Au, MD
  • COPD Exacerbation – Sarah Kennedy, MD, FACEP
  • Cardiac Tamponade – Rabbia Saeed, MD; Tiffany C. Fong, MD, FACEP
  • Cholecystitis – Courtney Smalley, MD, FACEP
  • Focal WMA, STEMI, with Cardiogenic shock – Felipe Teran, MD, FACEP
  • Pulmonary Embolism s/p surgery – Javier Rosario, MD, FACEP; Leoh N. Leon II, MD
  • Hypovolemic Shock from Ectopic – Alice Chao, MD
  • +eFAST with Hemoperitoneum – Sarah Kennedy, MD, FACEP
  • Obstructive Pyelonephritis with Sepsis – Sara Damewood, MD, FACEP
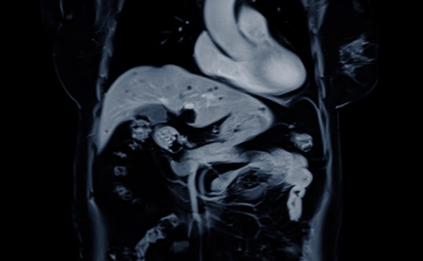
  • Intussusception (peds AMS) – Rebecca Floyed, MD; Marla Levine, MD
  • Pneumonia with Septic Shock – Sara Damewood, MD, FACEP
  • Pneumothorax/ Severe COPD – Zachary W Risler, MD MPH

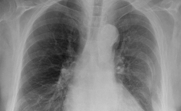
Massive PE with RV Failure

70 year old female with history of HTN, MI, CVA who presents to the ED via EMS following multiple syncopal episodes, she reports associated dyspnea on exertion. She is tachycardic and hypotensive. She...

Retinal Detachment

68-year-old female presents for acute vision changes. The goals for this case are to apply point-of-care ultrasound to diagnose retinal detachment, to distinguish between emergent versus urgent featur...

Ocular Pathology - Papilledema

A 17-year-old female went to her Optometrist several days ago with worsening blurry vision and headaches. This case aims to rule out the emergent causes of headaches and identify a patient with Papill...

LVOT Obstruction

A 17-year-old male presents to a rural ED via EMS after passing out while on a summer backpacking trip with family. He has an undiagnosed history of HCM and is severely tachycardic and hypotensive upo...

Ureteral Obstruction

A previously healthy 64 year old female presenting 10 days post bladder sling repair operation with intractable vomiting, bilateral flank, and abdominal pain. Her vital signs are relatively normal, an...

Testicular Torsion

You are working overnight in a single coverage ED when a 15-year-old male presents with his mom for lower abdominal pain. The patient was playing basketball 3 hours ago and suddenly felt severe lower ...

TEE Cardiac Arrest: Aortic Dissection

67 year old male presenting for right arm weakness and chest pain. The patient will become unstable, unconscious, and require intubation. The learner will need to identify the cause and make the appro...

Small Bowel Obstruction

75 year old male with PMH of HTN, HLD presenting with concern of right sided abdominal pain for 3 days, progressively worsening. He appears uncomfortable and is tachycardic on arrival. The goals for t...

Deep Vein Thrombosis

60 year old male with PMH of HTN, HLD, obesity, osteoarthritis, presenting with right leg pain, determined by learners on POCUS to have a DVT. The goals of this case are to think through a broad diffe...

Necrotizing Fasciitis

45-year-old male with history of DM arrives from private vehicle for left lower leg rash and pain that started last night. He appears in distress and is borderline hypotensive upon arrival. The goals ...

Peritonsillar Abscess

24-year-old male with no past medical history presents to the emergency department for a sore throat. The goals for this case are to accurately diagnose and safely manage a patient with peritonsillar ...

Urinary Obstruction

A 92-year-old male with history of prostatic hyperplasia and hypothyroidism presents from home with son for several days of gradually worsening weakness and decreased ambulation. The goals of this cas...

Vitreous Hemorrhage

64-year-old female with history of prior TIA, CAD s/p cardiac arrest, Atrial fibrillation on coumadin, CHF who presents with vision changes. The goals of this case are to evaluate potential causes of ...

Ruptured Abdominal Aortic Aneurysm

72yo M with hx of HTN, DL is BIBA from home for severe mid-back pain. He appears in distress and is borderline hypotensive upon arrival.

Aortic Dissection, Leg pain and numbness

A 58-year-old male presents to the emergency room for severe leg pain x 2 hours. He is severely hypertensive and has no right femoral pulse on exam.

Appendicitis

24yo F G2P1011 with hx of kidney stones presents complaining of right sided abdominal pain.

COPD Exacerbation

This is a 55 year old female with a history of CHF and COPD who presents with cough and shortness of breath for 3 days.

Cardiac Tamponade

An elderly patient with multiple co-morbidities presents to the ED with dyspnea and is found to be in obstructive shock secondary to cardiac tamponade.

Cholecystitis

40 y/o female with history of hyperlipidemia, obesity, and GERD presenting with upper abdominal pain.

Focal WMA, STEMI with Cardiogenic Shock

55 yo M presents to the Emergency Department with progressive shortness of breath and lightheadedness for one day.

Pulmonary Embolism s/p surgery

A 46 year old male with a cast on his left leg from an ankle fracture presents to the ED complaining of pleuritic chest pain and shortness of breath.

Hypovolemic Shock from Ruptured Ectopic

32yo healthy F comes to the Emergency Department with abdominal pain. The learner should obtain a thorough history in a female of childbearing age, including last menstrual period and sexual history.

Positive EFAST with hemoperitoneum

This is a 20 year old male who presents after an MVC. He was the unrestrained driver and was T-boned at approximately 45 mph in an intersection.

Obstructive pyelonephritis with sepsis

This is a 53 year old female who presents with altered mental status. She is found to have sepsis.

Altered Mental Status in an Infant

10 month old male infant presents to the ED by EMS with vomiting and altered mental status (AMS).

Pneumonia with septic shock

This patient arrives with weakness and shortness of breath. He is found to have pneumonia and shows signs of multi-organ failure and critical illness.

A Case of Severe COPD

63 yo smoker with extensive copd on home oxygen comes to the emergency department short of breath.

[ Feedback → ]