October 4, 2023
Obstructive pyelonephritis with sepsis
Sara Damewood, MD, FACEP
Brief narrative description of case
Include the presenting patient chief complaint and overall learner goals for this case
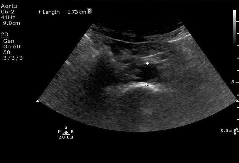
This is a 53 year old female who presents with altered mental status. She is found to have sepsis. Her urinalysis is marginally positive for infection. She is not fluid responsive and does not respond to pressor support. Hydronephrosis is discovered on bedside ultrasound resulting in urology consultation and operative management for source control.
