Positive EFAST with hemoperitoneum
Sarah Kennedy, MD, FACEP
Brief narrative description of case
Include the presenting patient chief complaint and overall learner goals for this case
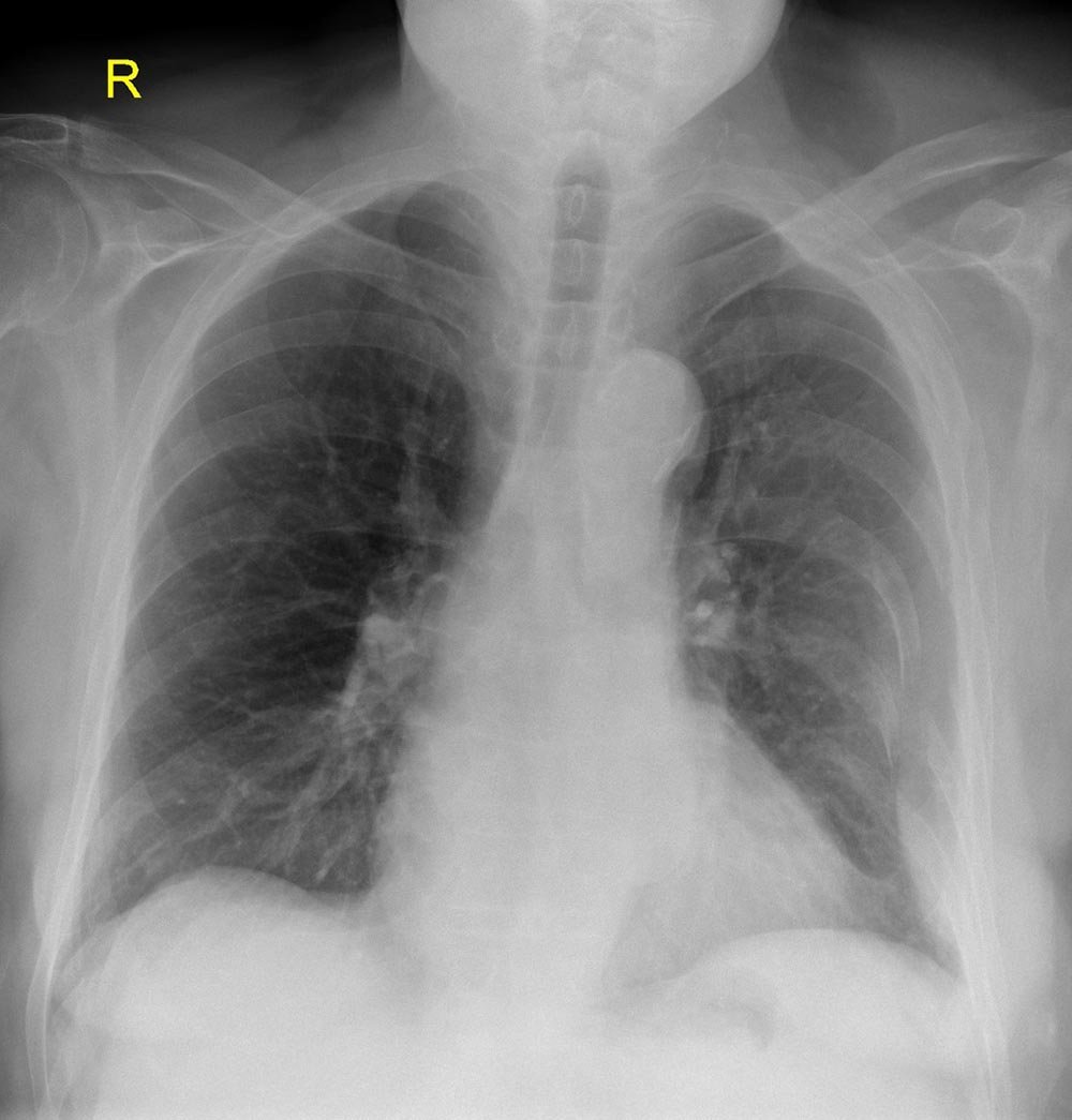
This is a 20 year old male who presents after an MVC. He was the unrestrained driver and was T-boned at approximately 45 mph in an intersection. He complains of pain to his abdomen and chest. He is found to have multiple left sided rib fractures and hemoperitoneum from splenic and liver lacerations. He is hemodynamically stable for EMS but becomes hypotensive and tachycardic in the ED. He should bypass CT and go straight to OR after free fluid found on his EFAST scan. Learners should be able to evaluate a trauma patient as well as perform and correctly interpret EFAST images.
