Hyperleukocytosis and Leukostasis
Ryan Alcantara, MD
PGY-4 Resident Physician, University of Washington, Department of Emergency Medicine
Rob Klemisch, MD
Editing/assistance
Leukostasis is an oncologic emergency characterized by extremely high white blood cell (WBC) counts that result in impaired tissue perfusion and subsequent end-organ damage. Leukostasis carries a strikingly high rate of morbidity and early mortality and is rapidly progressive and highly fatal if not immediately identified and addressed. Intensivists and emergency physicians must maintain a high index of suspicion and be capable of recognizing high-risk malignancies and compatible presentations. Prompt diagnosis, coordination with oncology, aggressive supportive care, and initiation of cytoreductive therapy are essential to improving outcomes and preventing complications.
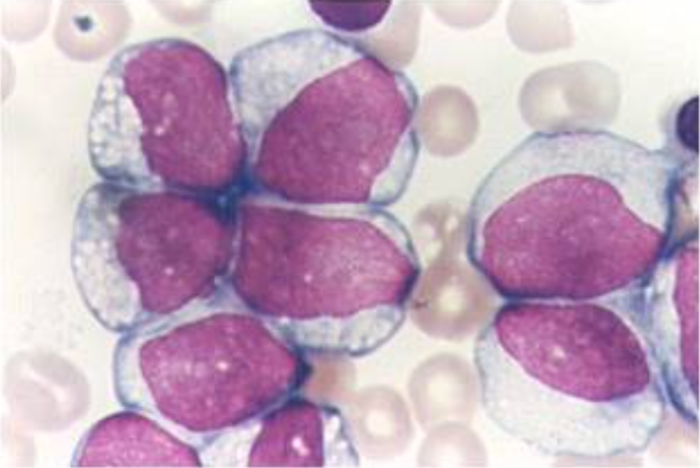
Leukostasis is often preceded by hyperleukocytosis, defined as a white blood count greater than 100,000 cells/μL. This is a relatively common laboratory finding across various hematologic malignancies, indicative of a high disease burden. However, the presence or magnitude of hyperleukocytosis alone does not reliably predict the onset of leukostasis; the type of leukemic cells present is a far more important factor in determining whether leukostasis will occur. Leukostasis usually occurs in patients with acute myeloid leukemia (AML) and those with chronic myeloid leukemia (CML) during a blast crisis. In contrast, leukostasis is exceedingly rare in lymphoid malignancies like acute lymphoblastic leukemia (ALL) and chronic lymphocytic leukemia (CLL) despite hyperleukocytosis also being common in these conditions.

Importantly, there is no accepted minimum WBC threshold at which leukostasis will occur. While it is most often associated with hyperleukocytosis over 100,000 cells/μL, leukostasis can be seen at relatively high frequencies in patients with AML at WBC counts as low as 50,000 cells/μL.
Pathogenesis
The pathogenesis of leukostasis centers around the effects of the high burden of abnormal cells on the vasculature. The extremely high white blood cell count, particularly with myeloid blasts – which are larger than mature cells and poorly deformable – results in increased blood viscosity and mechanical obstruction of the microcirculation. This leads to impaired tissue perfusion, local ischemia, and bleeding from damaged capillaries. Furthermore, the high metabolic activity of the blast cells leads to increased oxygen consumption, exacerbating local and systemic hypoxemia. Additionally, the blast cells release cytokines that directly injure the endothelium, causing further vascular damage and tissue destruction.
Clinical Presentation
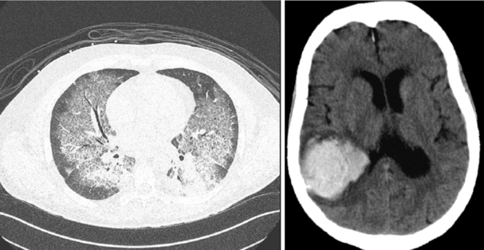
From a clinicians’ perspective, leukostasis can be perceived as a prothrombotic disorder, with symptoms resulting from widespread microvascular obstruction resulting in ischemia and bleeding. Leukostasis can involve almost any organ system; however, neurological and respiratory manifestations are the most common and serve as important diagnostic clues. Notably, the most common causes of early mortality are lethal hemorrhagic and thromboembolic events, respiratory failure, and neurologic complications.

- Neurological symptoms occur in approximately 40% of patients and can include seizures, focal deficits, vision changes, and mental status changes. Patients are at risk for intracranial hemorrhage, particularly if thrombocytopenia and/or DIC are present. However, bleeding can still result from the lysis of leukemic cells and the release of pro-hemorrhagic cytokines, even without overt coagulopathy. This risk persists for at least a week following successful cytoreduction. A low threshold should be maintained for obtaining neuroimaging in any patient with neurological findings.
- Respiratory symptoms occur in approximately 30% of patients and include dyspnea and hypoxemia, with audible rales on auscultation. Imaging studies often reveal bilateral interstitial or alveolar infiltrates resulting from capillary leakage and/or pulmonary hemorrhage. Importantly, the PaO2 from an arterial blood gas may reveal spurious hypoxemia, as the high white blood cell count can lead to falsely decreased peripheral oxygen levels due to the metabolic activity of the leukemic cells.
Image Source Link 1 and Image Source Link 2
Beyond the neurological and respiratory systems, leukostasis can manifest with ischemic complications in most other organs, including limb ischemia, myocardial ischemia, bowel infarction, priapism, and renal vein thrombosis. Fever is also very common, occurring in up to 80% of patients, and it can be difficult to distinguish inflammation from cytokine release from an underlying infection.
In addition to the direct effects of leukostasis, the hyperleukocytosis that precedes this condition is commonly associated with other important hematologic complications that must be recognized and managed.
- Up to 40% of patients with hyperleukocytosis develop disseminated intravascular coagulation (DIC), which can further exacerbate the bleeding and thrombotic manifestations. Diagnosing DIC in these patients can be challenging, as the platelet count may be falsely elevated due to the fragmented leukemic blast cells being mistakenly counted as platelets on the automated blood cell analyzer.
- Hyperleukocytosis is also strongly associated with a high incidence of tumor lysis syndrome, occurring in approximately 30% of patients. Up to 10% of these cases of tumor lysis syndrome can occur spontaneously, prior to the initiation of any cytoreductive treatment.

Diagnosis
Leukostasis is a clinical diagnosis typically made in patients with a compatible hematologic malignancy and a markedly elevated white blood cell count who present with corresponding symptoms. However, this diagnosis can be challenging to establish with confidence, as there is no definitive leukocyte count threshold for leukostasis. Imaging findings are often nonspecific, potentially showing ischemic changes, hemorrhage, edema, or masses.
Given the lack of clear diagnostic criteria, clinicians must maintain a high index of suspicion, especially in patients with a relevant oncologic history and compatible symptoms. In such cases, a very low threshold should be maintained for specialist consultation. In fact, oncology consultation is reasonable in any patient who presents with hyperleukocytosis, even in the absence of overt clinical symptoms of leukostasis, given the strong association between hyperleukocytosis and the development of other serious conditions.
Management

Management of leukostasis should never be undertaken without subspecialist input. If not already present, the patient should be transferred to an oncology center with expertise in managing oncologic emergencies and rapid access to genetic testing, blood products, and chemotherapeutic agents. All patients should be admitted to an intensive care unit, assuming this is concordant with their goals of care.
The cornerstone of leukostasis management is cytoreductive chemotherapy to rapidly lower the WBC, often starting with hydroxyurea, which can be initiated prior to identifying the specific subtype of leukemia. More targeted and definitive chemotherapy regimens can then be implemented once the underlying malignancy is characterized.
Leukapheresis, a procedure to remove excess white blood cells from the bloodstream, is a controversial adjunct therapy without strong supporting evidence and should be avoided in certain leukemias, such as acute promyelocytic leukemia. Its use is generally reserved for refractory cases and patients unable to undergo induction chemotherapy. In resource-limited settings, judicious phlebotomies with concurrent crystalloid and/or blood product replacement have been used as an alternative strategy for initial cytoreduction.
Supportive care measures are crucial in the management of these patients.
- Dehydration should be avoided, as this will worsen hyperviscosity. Intravenous fluid resuscitation should be carefully provided to these patients to maintain euvolemia and encourage appropriate urine output. Diuretics should be avoided as best as possible.
- Empiric antimicrobial therapy is often given after the collection of microbiological data and continued until an underlying infection is excluded and the patient's immune system is restored. Common prophylactic regimens include a fluoroquinolone, posaconazole or voriconazole, and acyclovir or valacyclovir in patients with HSV/VZV seropositivity. The specific regimen should be determined in collaboration with the consulting oncology team.
Broad-spectrum antibiotics covering gram-positive and gram-negative organisms should be initiated promptly for any signs of severe infection and tailored to local resistance patterns. Common initial antibiotics include vancomycin and cefepime or piperacillin/tazobactam, though this may vary depending on clinical circumstances and institutional antibiograms.
Escalation of antifungal coverage to an echinocandin or amphotericin may be considered in the appropriate clinical context, such as in patients with concerning exam or imaging features or those with shock that persists despite antibiotic therapy. In these cases, consultation with infectious disease specialists is strongly recommended.
- Bleeding can be severe and is an important cause of mortality. If present, measures should be taken to manage DIC and restore normal coagulation.
- In the presence of clinically significant bleeding, platelet transfusions should be provided to maintain a platelet count > 20,000 - 30,000 cells/μL.
- Fresh frozen plasma, cryoprecipitate, and fibrinogen should be provided to target normal coagulation parameters.
- Red blood cell transfusions should be avoided in asymptomatic patients until successful cytoreduction, as this can worsen hyperviscosity and impair perfusion.
If available, thromboelastography may be preferable to traditional coagulation assays to help tailor the administration of blood products and other interventions more precisely.
- Tumor lysis syndrome should be prevented with intravenous hydration, prophylactic uricosuric agents (allopurinol or rasburicase), and close monitoring and management of electrolyte disturbances.
If the patient is unstable and remains in the emergency department for a prolonged time, labs, including blood counts, coagulation parameters, and electrolytes, should be obtained every four to six hours and the patient should be closely monitored and serially reassessed.
Outcomes
Without immediate recognition and treatment, leukostasis carries a grim prognosis. The one-week mortality rate in untreated patients is estimated to be around 50%, increasing to over 90% if there is multiorgan system involvement. Pulmonary involvement, in particular, has been identified as the single worst prognostic factor for poor outcomes and mortality in leukostasis.
With early and aggressive management, the overall mortality rate for leukostasis can be improved but remains high, ranging from 20-40%. Even in patients who are successfully treated and achieve remission, long-term outcomes tend to be worse for those with a history of hyperleukocytosis and leukostasis, with shorter durations of remission and lower rates of long-term survival compared to other hematologic malignancies.
Take-Home Points
- Leukostasis is usually seen in patients with AML or CML during a blast crisis and very high WBCs (greater than 50,000 to 100,000 cells/μL).
- Neurologic and respiratory features are the most common manifestations of leukostasis and serve as useful diagnostic clues.
- Hyperleukocytosis, independent of leukostasis, is a poor prognostic factor and is associated with a high rate of DIC and TLS.
- Management of leukostasis involves prompt cytoreduction, usually with induction chemotherapy, and supportive care to address the complications of hyperleukocytosis.
- Hyperleukocytosis and leukostasis are highly morbid conditions requiring prompt recognition and aggressive management to limit complications and improve outcomes.
References
- Ali AM, Mirrakhimov AE, Abboud CN, et al. Leukostasis in adult acute hyperleukocytic leukemia: A clinician’s digest. Hematol Oncol. 2016;34(2):69–78. https://doi.org/10.1002/hon.2292
- Bewersdorf JP, Zeidan AM. (2020). Hyperleukocytosis and Leukostasis in Acute Myeloid Leukemia: Can a Better Understanding of the Underlying Molecular Pathophysiology Lead to Novel Treatments? Cells. 2020;9(10):2310. https://doi.org/10.3390/cells9102310
- Döhner H, Wei AH, Appelbaum FR, et al. Diagnosis and management of AML in adults: 2022 recommendations from an international expert panel on behalf of the ELN. Blood. 2022;140(12):1345–77. https://doi.org/10.1182/blood.2022016867
- Ganzel C, Becker J, Mintz PD, et al. Hyperleukocytosis, leukostasis and leukapheresis: Practice management. Blood Reviews. 2012;26(3):117–22. https://doi.org/10.1016/j.blre.2012.01.003
- Hallek M, Cheson BD, Catovsky D, et al. iwCLL guidelines for diagnosis, indications for treatment, response assessment, and supportive management of CLL. Blood. 2018;131(25):2745–60. https://doi.org/10.1182/blood-2017-09-806398
- Lester TJ, Johnson JW, Cuttner J. Pulmonary leukostasis as the single worst prognostic factor in patients with acute myelocytic leukemia and hyperleukocytosis. Amer J Med. 1985;79(1):43-48. https://doi.org/10.1016/0002-9343(85)90544-3
- Lichtman MA, Rowe JM. Hyperleukocytic leukemias: Rheological, clinical, and therapeutic considerations. Blood. 1982;60(2):279-83.
- Lichtman MA, Weed RI. Peripheral cytoplasmic characteristics of leukocytes in monocytic leukemia: Relationship to clinical manifestations. Blood. 1972;40(1):52-61.
- Piro E, Carillio G, Levato L, et al. Reversal of leukostasis-related pulmonary distress syndrome after leukapheresis and low-dose chemotherapy in acute myeloid leukemia. J Clin Oncol. 2011;29(26):e725-726. https://doi.org/10.1200/JCO.2011.36.2756
- Porcu P, Cripe LD, Ng EW, et al. Hyperleukocytic leukemias and leukostasis: A review of pathophysiology, clinical presentation and management. Leuk Lymphoma. 2000;39(1-2):1-18. https://doi.org/10.3109/10428190009053534
- Récher C. Clinical Implications of Inflammation in Acute Myeloid Leukemia. Front Oncol. 2021;11:623952. https://doi.org/10.3389/fonc.2021.623952
- Röllig C, Ehninger G. How I treat hyperleukocytosis in acute myeloid leukemia. Blood. 2015;125(21):3246-52. https://doi.org/10.1182/blood-2014-10-551507
- Würthner JU, Köhler G, Behringer D, et al. Leukostasis followed by hemorrhage complicating the initiation of chemotherapy in patients with acute myeloid leukemia and hyperleukocytosis. Cancer. 1999;85(2):368-74. https://doi.org/10.1002/(SICI)1097-0142(19990115)85:2<368::AID-CNCR14>3.0.CO;2-X
- Schwartz J, Winters JL, Padmanabhan A, et al. Guidelines on the use of therapeutic apheresis in clinical practice-evidence-based approach from the Writing Committee of the American Society for Apheresis: The sixth special issue. J Clin Apher. 2013;28(3): 145–284. https://doi.org/10.1002/jca.21276
- Stahl M, Shallis RM, Wei W, et al. Management of hyperleukocytosis and impact of leukapheresis among patients with acute myeloid leukemia (AML) on short- and long-term clinical outcomes: A large, retrospective, multicenter, international study. Leukemia. 2020;34(12):3149-60. https://doi.org/10.1038/s41375-020-0783-3
- Stucki A, Rivier AS, Gikic M, et al. Endothelial cell activation by myeloblasts: Molecular mechanisms of leukostasis and leukemic cell dissemination. Blood. 2001;97(7):2121-9. https://doi.org/10.1182/blood.v97.7.2121

