Vascular Access
Anoop Kotwal, MD
Chris Bryczkowski, MD, FACEP
Mike Mirza, MD, FACEP
I. Introduction and Indications
- Emergency physicians are often called upon to rapidly establish intravenous access for critically ill patients.
- Several factors including volume depletion, history of intravenous drug abuse, and body habitus can make this an extremely challenging task.
- The use of ultrasound increases accuracy, limits complications and reduces the number of attempts of venous access.1-5 It has long been recommended that ultrasound be utilized for all central venous access per the AHRQ (Agency for Healthcare Research and Quality) since 2001.6
- Traditionally, cannulation of a peripheral vein is first attempted and if unsuccessful, a central vein catheter is then inserted. Such a practice is associated with increased duration of hospital stay, greater morbidity/mortality and higher healthcare costs.7-9
- It has been shown that ultrasound guided peripheral IV access can prevent the need for central venous line placement in up to 85% patients with difficult IV access.7
- While no formal criteria to perform ultrasound guided peripheral IV access exists, most have used 2 or more failed, blind attempts.
II. Anatomy
Venous access can be divided into two broad categories:
- Peripheral
- There are a few variations in upper extremity venous anatomy.10
- The Antecubital area is the most commonly used site for peripheral venous access - including the cephalic and basilic veins.

Illustration 1. Variations in upper extremity veins. Cephalic Vein (CV), Brachial Vein (BV), Median Cubital Vein (MCV), Median Antebrachial Vein (MABV)

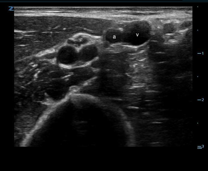
Figure 1. Short axis peripheral
- Central
- IJ - internal jugular vein traverses the neck virtually unopposed by bone making it an ideal vessel to evaluate using ultrasound.
- The IJ should be superficial to the carotid and easily compressible.

Figure 2. Picture of sterile prep
-
- Subclavian - due to the clavicle, ultrasonic visualization is limited to a very lateral approach.
- Femoral - Should be used if IJ or subclavian are inaccessible.
III. Scanning Technique
- Linear array transducer with frequency ranging from 7.5 to 10 MHz
- Cover the probe with a sterile barrier
- Video 1. IV Prep
- The depth, direction and patency of the central or peripheral vein should be examined using ultrasound prior to needle insertion.
- Needle insertion and cannulation can be done in either transverse (short) axis or longitudinal (long axis) - or combination of both (see image).

- Illustration 2. Short- vs long-axis IV access
Video 2. IV insertion
IV. Normal Findings and Abnormal Variants
- When scanning, veins are thin walled, non-pulsatile, easily compressible, and in a patient with normal hydration status often larger than surrounding arteries.
- Color or Power Doppler can be used to distinguish pulsatile flow of arteries vs more laminar flow of veins.
Video 3. Artery/vein color doppler - Nerves may run adjacent to deeper vascular bundles and appear as hyperechoic, honeycomb pattern structures in transverse view.

- Figure 3. Nerve adjacent to a vessel
- Lymph nodes will appear as nodular or cystic structures often with internal flow.

- Figure 4. Picture of a lymph node
V. Pearls and Pitfalls
- Preparation and positioning are important - for both patient and operator comfort and to increase success rates.
- Failure to identify the needle in the tissue. Remember to look for the ring-down artifact to avoid this.
- Failure to distinguish between vein and artery. Remember to look for the compressible vessel. Doppler flow can be used if necessary.
- Angling the transducer towards the entry site of the needle on the skin may help visualize the needle earlier.
- Avoid advancing the catheter if the needle tip is not visualized.
- Placing the patient in a supine and Trendelenburg position will help facilitate central venous access.
- Having the patient perform a Valsalva maneuver will help engorge the internal jugular vein.
- Ideal positioning of neck should be midline or slightly lateral. Excessive head rotation may cause dangerous overlay of the internal jugular vein over the carotid artery.
- Use caution when utilizing a long axis approach to central venous cannulation due to the inability to maintain visualization of the carotid artery at all times.
- Estimate the length of the needle path and choose a catheter with the appropriate length.
- Failure to use sterile ultrasound gel for line placement. If not available, you can substitute with a package of surgical lubricant.
VI. References
- Hudson PA, Rose JS. Real-time ultrasound guided internal jugular vein catheterization in the emergency department. Am J Emerg Med. 1997;15:79-82.
- Slama M, Novara A, Safavian A, Ossart M, Safar M, Fagon JY. Improvement of internal jugular vein cannulation using an ultrasound-guided technique. Intensive Care Med. 1997;23:916-9.
- Teichgräber UK, Benter T, Gebel M, Manns MP. A sonographically guided technique for central venous access. AJR. 1997;169:731-3.
- Denys BG, Uretsky BF, Reddy PS. Ultrasound-assisted cannulation of the internal jugular vein. A prospective comparison to the external landmark-guided technique. Circulation. 1993;87:1557-62.
- Keyes LE, Frazee BW, Snoey ER, Simon BC, Christy D. Ultrasound-guided brachial and basilic vein cannulation in emergency department patients with difficult intravenous access. Ann Emerg Med. 1993;34:711-4.
- Rothschild JM. Ultrasound guidance of central vein catheterization. In: On Making Health Care Safer: A Critical Analysis of Patient Safety Practices. Rockville, MD: AHRQ Publications; 2001; Chapter 21: 245–255. Available at: http://www.ahrq.gov/clinic/ptsafety/chap21.htm. Accessed March 2022.
- Au AK, Rotte MJ, Grzybowski RJ, et al. Decrease in central venous catheter placement due to use of ultrasound guidance for peripheral intravenous catheters. Am J Emerg Med. 2012;30:1950-4.
- Maki DG, Kluger DM, Crnich CJ. The risk of bloodstream infection in adults with different intravascular devices: a systematic review of 200 published prospective studies. Mayo Clin Proc. 2006;81:1159-71.
