Airway Emergencies
Elaine Situ-LaCasse, MD
Srikar Adhikari, MD, MS, FACEP
I. Introduction and Indications
- Ultrasound allows for rapid assessment of the upper airway in emergent situations in the emergency department, intensive care unit, operating room, etc. when patient is either too unstable to wait for bedside radiography or leave the immediate area for cross-sectional imaging.
- This modality is ideal for imaging the airway because of its portability to the bedside, ability to detect pathology in a dynamic manner, noninvasiveness, and reproducibility.
- Indications include concerns for pathologies such as epiglottitis, subglottic stenosis, airway obstruction and also for ultrasound-guided or ultrasound-directed procedures such as intubation and cricothyrotomy for difficult airways.
II. Anatomy
- The scanning technique described below highlights the main structures seen on an upper airway ultrasound.
- The structures to be evaluated, starting from the most cephalad are: geniohyoid/base of the tongue, hyoid bone, epiglottis, thyroid cartilage/vocal cords, cricothyroid membrane, cricoid cartilage, tracheal rings, and esophagus.
- It is easier in males to identify various structures such as the cricothyroid membrane and the cricoid cartilage because of the prominence of the thyroid cartilage just proximal to these.
III. Scanning Technique, Normal Findings, and Common Variants
Scanning Technique and Normal Findings
- Use the high frequency linear probe for imaging these superficial airway structures, except for the tongue. For the tongue, you need the curvilinear transducer.
- The majority of anatomy and structure identification will be performed in the transverse plane, with the indicator towards the patient’s right shoulder. The parasagittal approach (discussed below) is used to visualize some of these structures.
- Patient can be supine or sitting upright, depending on his/her tolerance of the positioning, with the neck slightly extended if possible.
- Scanning protocol and normal findings


- Figure 1a and b. Step 1: Find the base of the tongue. Note the angle of the probe to the patient’s neck. It is approximately 60° from the bed.


- Figure 2a and b. Step 2: Changing the angle of the probe to approximately 75° to the bed, you will see a dome-shaped hyoid bone with a hyperechoic edge and posterior acoustic shadowing, obscuring structures in the far-field.


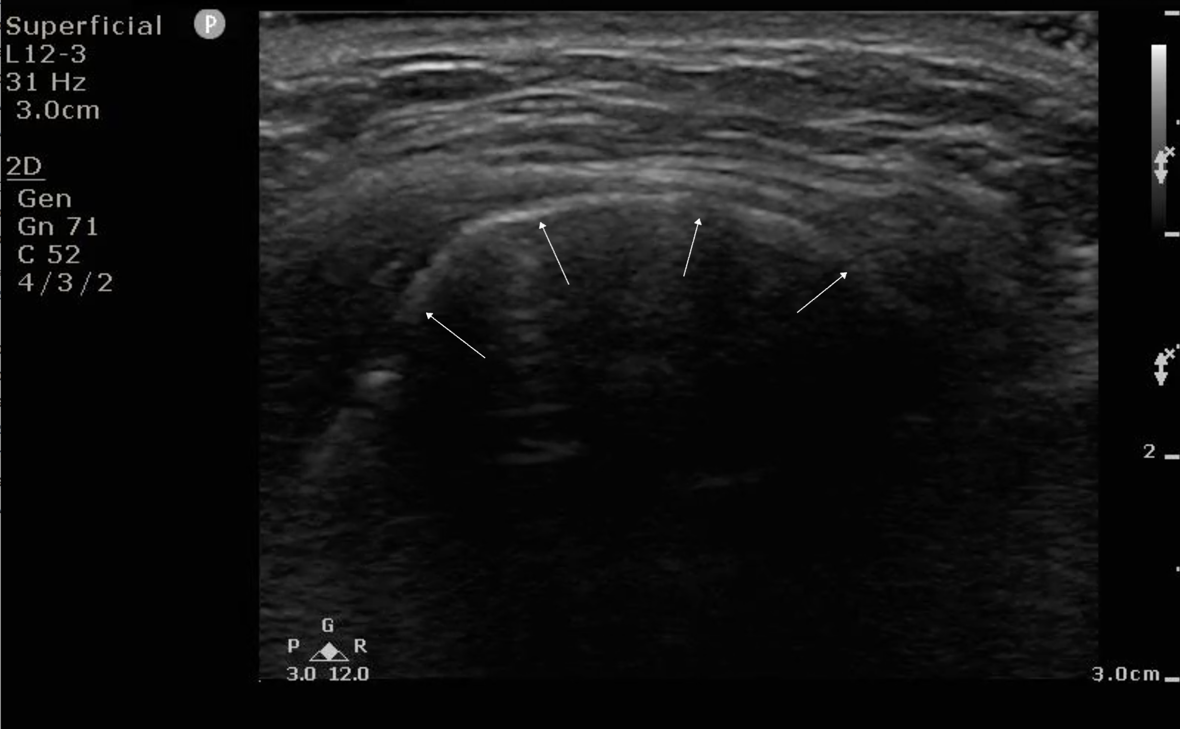
- Figure 3a and b. Step 3: Sliding down the neck ever so slightly and keeping the angle of the probe approximately the same as finding the hyoid bone, you will see a hypoechoic band in the far field with two circular hypoechoic structures in the near field, forming a frog face-like image. The hypoechoic band is the epiglottis (E) and the two circular structures are strap muscles (SM) of the neck. Normal thickness of the epiglottis in adults is <3mm. Far field to the epiglottis are hyperechoic artifacts due to air; the bright linear line is the air-mucosal interface.


- Figure 4a and b. Step 4: In males, the thyroid cartilage is prominent, serving as a good landmark. Even in women, the thyroid cartilage is difficult to miss. It is an upside-down V shaped structure. Superficial to the thyroid cartilage are the hypoechoic strap muscles (SM), and deep to the thyroid cartilage (TC) are the vocal cords (VC). Deep to the vocal cords, you see the arytenoids (A).
- Video 1. You can ask the patient to phonate and watch the motion of the vocal cords and the air mucosal interface (nearfield hyperechoic focus).


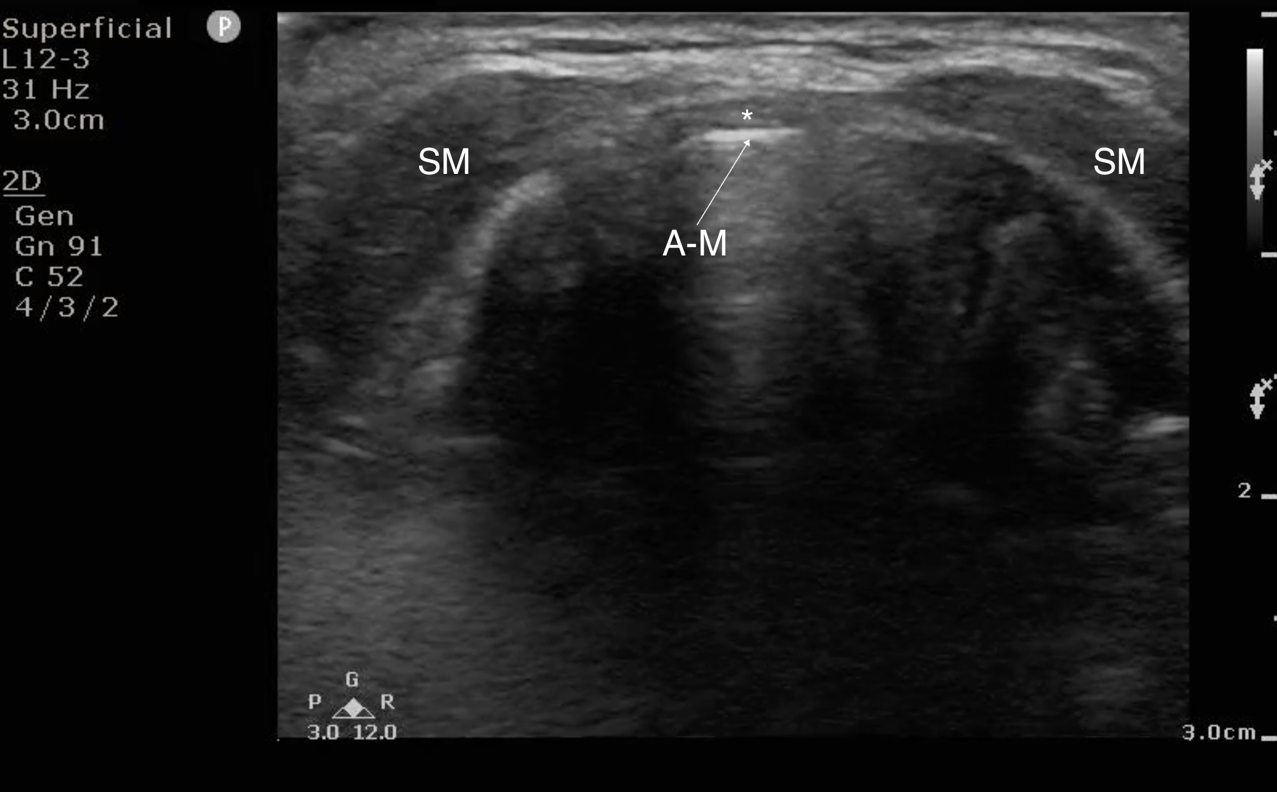
- Figure 5a and b. Step 5: Immediately below the thyroid cartilage is the cricothyroid membrane (*). Note there is no cartilage overlying the membrane, and directly deep to the membrane is the hyperechoic air-mucosal (A-M) interface.


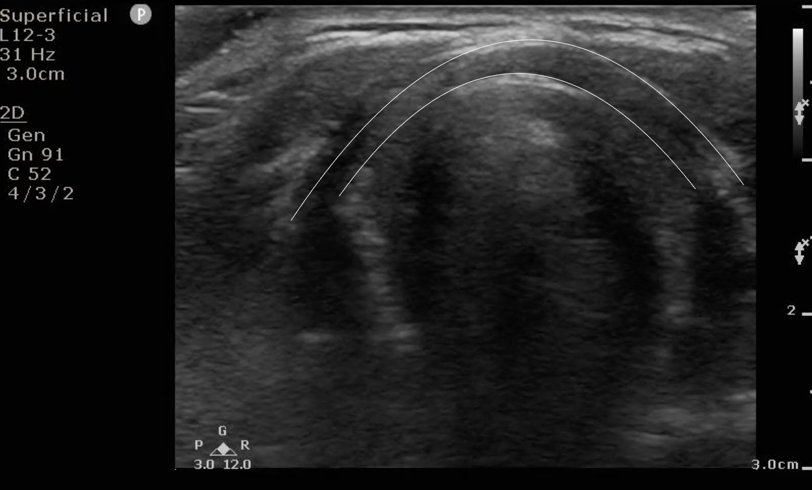
- Figure 6a and b. Step 6: As you slide down the patient’s neck, just after the cricothyroid membrane is the cricoid cartilage. It is a hypoechoic circular structure as noted in the figure between the two lines.


- Figure 7a and b. Step 7: Just caudal to the cricoid cartilage, you will start to see trachea with its intermittent tracheal rings. To the left of the patient’s trachea, you will frequently see the esophagus with a bull’s eye appearance (circle).
- Video 2. You can also have the patient swallow, and you will see air move through the esophagus in real time.
IV. Pathology and Procedural Guidance
- Epiglottitis
- Epiglottitis is uncommon, occurring in 1 per 100,000 adults, but it can rapidly progress to airway obstruction and become life-threatening, with mortality rate of 6-7%.1-2
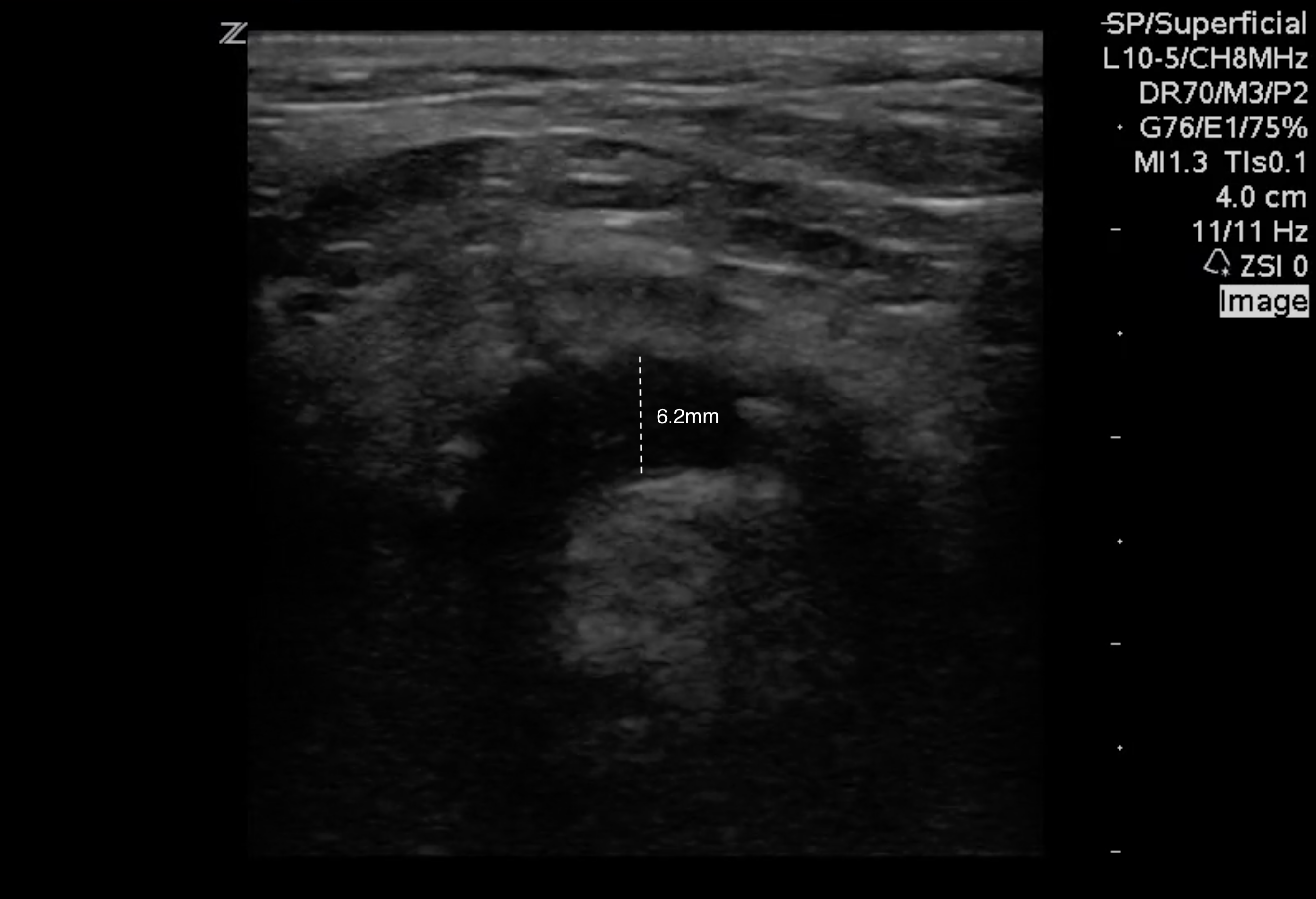
- On bedside ultrasound, the upper limit of normal for the anterior-posterior diameter of the epiglottis is 3mm.3
- Video 3. Example of a thickened epiglottis, concerning for epiglottitis, noted here at the end of the clip that scans proximally down to the epiglottis.

- Figure 8. This epiglottis measured 6.2mm in the anterior-posterior aspect.
- Vocal cord dysfunction
- The thyroid cartilage provides the best acoustic window to visualize the vocal cords.
- Bedside ultrasound can detect vocal cord dysfunction as the cause of the patient’s abnormal voice in instances such as post-extubation hoarseness.
- While scanning, monitor for vocal cord movements, which normally is symmetrical. In patients with vocal cord dysfunction, asymmetrical movement or complete paralysis of vocal cords will be seen.
- You can also predict post-extubation stridor by measuring the air-column width. An air-column width of 4.5 (±0.8) mm was associated with stridor after extubation, whereas patients with the air-column width of 6.4 (±2) mm did not develop stridor.4

- Figure 9. This patient is trying to phonate, and the right vocal cord (R) is not coming to midline (dotted line), like the left vocal cord (L).
- Esophageal vs endotracheal intubation
- Intubation can be seen in real time under ultrasound. This way, if the patient has an esophageal intubation, it can be seen immediately. If that is the case, then a “double trachea” sign is seen, where there is a circular air-mucosal interface both in the trachea and in the esophagus.
- It is easier to visualize the cuff of the endotracheal tube under ultrasound if it is filled with liquid, such as normal saline or water, for confirmation of intubation.
- Point-of-care ultrasound for confirming endotracheal intubation in the emergency department is 98.9% sensitive and 100% specific.5
- Video 4. This video shows initial esophageal intubation, showing the “double trachea” sign, and then the endotracheal tube is retracted. (Courtesy of Dr. Rachel Liu)6
- Cricothyrotomy
- In patients with suspected difficult airway that may require a surgical airway, ultrasound can be used to identify the cricothyroid membrane ahead of time.
- The approach is parasagittal, with the probe just slightly off midline to the patient’s left and held at approximately 60° to the bed.
- With the parasagittal approach, you can mark exactly where you would cut midline with a skin marker, without needing to pick up the probe.

- Figure 10a and b. On the parasagittal view, from cranially to caudally, you see the thyroid cartilage (TC) followed by the cricothyroid membrane (*) then the cricoid cartilage (CC), and then tracheal rings (TR) which look like a “string of pearls.”
- Other pathologies
- Other pathologies such as airway foreign body or esophageal food impaction can potentially be seen on ultrasound as well. However, before performing a bedside airway ultrasound, make sure the patient is stable enough for the examination or if the patient is not, preparation for definitive airway is underway.
V. Pearls and Pitfalls
- Especially for novices, it is important to adhere to a protocol of scanning the airway. A systematic approach will decrease the confusion of airway structures.
- Hyoid bone is an important sonographic landmark that separates the upper airway into suprahyoid and infrahyoid regions.
- The epiglottis can be difficult to visualize. If you know you are in the correct level of the airway and cannot see the epiglottis well, it is most likely normal in size.
- Visualization of the epiglottis can be improved by protruding the tongue and swallowing.
- You may experience difficulty visualizing the vocal cords in older patients because as we age, the thyroid cartilage calcifies, obscuring structures that are deep to it.
- Air can degrade image quality by creating reverberation and comet tail artifacts.
- Subcutaneous air can interfere with scanning.
- Respiratory motion can also interfere with scanning, since movements of just millimeters or slight angles can change the imaged structure entirely.
- If you are performing an ultrasound on a young patient and have difficulty visualizing the vocal cords, placing an acoustic standoff pad or a full IV bag between the probe and patient’s neck may improve the image quality.
- To identify vocal cord dysfunction, have the patient hold their breath and then resume breathing to capture the asymmetrical movement or complete paralysis.
- Phonation can assist with true and false cord identification.
- You will most commonly find the esophagus to the left of the patient’s trachea, but there are patients who have their esophagus behind or to the right of the trachea.
- Swallowing can assist with the visualization of the esophagus.
VI. References
- Cheung CS, Man SY, Graham CA, et al. Adult epiglottitis: 6 years experience in a university teaching hospital in Hong Kong. Eur J Emerg Med. 2009;16:221-6.
- Werner SL, Jones RA, Emerman CL. Sonographic assessment of the epiglottis. Acad Emerg Med. 2004;11:1358-60.
- Ko DR, Chung YE, Park I, et al. Use of bedside sonography for diagnosing acute epiglottitis in the emergency department: a preliminary study. J Ultrasound Med. 2012;31(1):19-22.
- Kundra P, Ramesh A, Mishra S. Ultrasound of the airway. Indian J Anaesth. 2011;55(5):456-62.
- Masoumi B, Azizkhani R, Emam GH, et al Predictive value of tracheal rapid ultrasound exam performed in the emergency department for verification of tracheal intubation. Open Access Maced J Med Sci. 2017;5(5):618-23.
- Hoffmann B, Gullett JP. Emergency ultrasound for the detection of esophageal intubation. Acad Emerg Med. 2010;17(4):464-517.
