January 31, 2022
•
Emergency Ultrasound Section
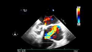
Use of Ultrasound in Cardiac Arrest
Most research has centered on transthoracic echocardiogram use (TTE). However, more emergency departments are now implementing point-of-care transesophageal echocardiogram (TEE) utilization in cardiac...