The Use of POCUS for Suspected Paediatric Skull Fractures
David J McCreary, MBBS, MRCPCH PgC US
Paediatric Emergency Department, Sunderland Royal Hospital, Tyne and Wear, UK
Cameron Hamilton, MBChB
Paediatric Emergency Department, Sunderland Royal Hospital, Tyne and Wear, UK
Case history
You are asked to evaluate a 10-month-old girl who has been bought to the Paediatric Emergency Department by her parents who have noted a lump on her head over the past 24 hours. She has no relevant past medical history and was born at term without complications, following an uneventful pregnancy with normal antenatal scans. Your resident asks you for your help in determining what this lump is. You note a well infant with a shallow, yet diffuse lump approximately 6 cm in diameter on the right parietal aspect of his skull. This was not boggy with no palpable step-off or other remarkable features. The rest of your examination is unremarkable. Being unable to deduce anything further using examination alone, you extend your clinical assessment using POCUS and scan directly over the lump. Your images are demonstrated below in Figures 1 and 2.

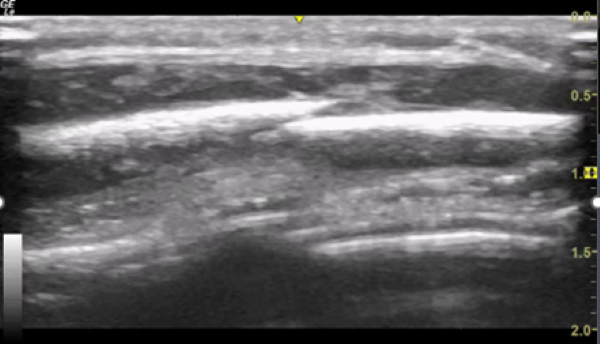
Figure 1. POCUS of parietal skull showing fracture

Figure 2 Additional image of parietal skull fracture
You explain to the parents that these images are consistent with a skull fracture and ask how this may have happened in a child not yet independently mobile.
Given the abnormality detected on POCUS, you were able to justify the radiation exposure of this otherwise well-appearing child in obtaining a CT head to confirm your findings and crucially exclude any intracranial injury, and were able to expedite discussions with the relevant child protective professionals, as well as with the family.
Background
The incidence of skull fracture in children following head injury ranges from 2% to 20%.1 Among children with linear skull fractures, 15 to 30 percent have associated intracranial injuries.2 As the risk of traumatic brain injury following a skull fracture is inversely proportional to age, it is more likely young children have a brain injury following a traumatic skull fracture and therefore it is vital to identify paediatric skull fractures. Point of Care Ultrasound (POCUS) has been shown to be highly sensitive in identifying skull fractures in children following blunt head trauma. It can be utilised as a quick, effective and non-ionising tool to help rule out skull fractures or identify them in the emergency department to determine whether a further CT head scan should be considered.
A recent systematic review and meta-analysis examined 7 studies to assess the effectiveness of POCUS identifying skull fractures in children with head injuries compared to the current gold standard of a CT head scan.1 The sensitivity and specificity were found to be 91% and 96% respectively. A 2020 cross-sectional study looking at diagnosis of skull fracture in children using POCUS found that POCUS had a sensitivity and specificity of 81.8% (95%CI, 48.2–97.7%) and 100% (95%CI, 97.7–100%), respectively. Positive and negative predictive values were 100% and 98.7%, with an accuracy of 98.8% in comparison with CT.3 POCUS cannot obviously identify intracranial injury and is not used for this purpose rather to confirm or exclude skull fracture.
Technique
Transducer
The high frequency (4-12MHz) linear probe is utilised for this modality. It provides the greatest axial resolution and a depth of up to 6-8cm. This is not a problem as the region of interest is superficial, within 1-2cm in infants.
It is important to consider the layers of the meninges when doing POCUS in suspected skull fractures.
The main layers (from superficial to deep) are: skin, connective tissues, periosteum, dura mater, arachnoid mater and pia mater. Between each layer is an associated space where vessels are found that can haemorrhage and cause haematomas as seen in images below in Figure 3.
Figure 3. Cross-sectional diagram of skull and cranium anatomy in axial rotation
Patient Positioning
Analgesia or comfort measures (such as the use of a pacifier) may be considered prior to the examination to ensure maximum patient compliance
The patient should be sat upright on the bed or held in the caregiver’s arms in the case of an infant.
Areas to be scanned
Place the probe over the swelling, abrasion or area of maximal tenderness indicated by the patient if they can communicate this to you. If it is difficult to discern the point of tenderness, it is worth starting at the area of obvious impact.
The periosteum is viewed as a solid hyperechoic line. As you look further intracranially, you may see the various layers surrounding the brain cortex, although the pia mater is usually difficult to visualise.
- If there is a fracture, this is seen as a disruption periosteal layer, ie, the hyperechoic line. Follow this region in both transverse and longitudinal planes assessing its extent.
- In the setting of a fracture, there is likely to be an obvious haemorrhage within the skin and connective tissues. There may also be an associated extradural or subdural haematoma.
Compare the abnormal appearances to the contralateral skull bone, i.e. opposite side of parietal skull to understand the normal appearances, determine if there is true asymmetry (see Pitfalls below), and confirm your positive findings. Additional images can be found in Filice, et al.4
Pitfalls: Skull fracture mimics!
Beware there are certain pitfalls associated with POCUS for skull fractures.
We have highlighted the two main ones below.
Suture lines in infants
It is common to mistake the suture lines as skull fractures as these can also be seen as disruptions in the periosteum but are not pathological. It is best to be familiar with skull anatomy and the associated suture lines as illustrated in Figure 4.
If in doubt, follow the suture lines from the fontanelles with your finger, scan accordingly then re-scan the area of interest again confirming that what you are identifying is not part of the normal suture anatomy.
Scan the contralateral side in order to confirm that this is not in keeping with the path of the (usually roughly symmetrical) suture lines.
Figure 4. Illustrations of the skull highlighting the anatomical positions of the suture lines
Note in cases of pre-existing positional plagiocephaly suture lines may not follow a symmetrical path on the contralateral skull.
Langerhans Cell Histiocytosis (LCH)
- This is a rare disease that involves a malignant proliferation of Langerhans cells. It is the most common differential and mimic of paediatric skull fracture. Often, early in the disease, the blood results are unremarkable, and it is solely identified from clinical examination and imaging.
- On ultrasound scan, the histiocytosis is identified by soft tissue swelling and a hypoechoic collection around where the periosteum is disrupted by the Langerhans cell histiocytosis (LCH). This can be seen in Preto-Zamperlini, et al.5
Integration into clinical practice:
POCUS should be used as an extension of clinical assessment in the diagnosis of paediatric skull fracture.
Findings may be useful in excluding traumatic skull fracture in those patients with mild head trauma but with extensive swelling for whom a CT scan would not be required.
Skull POCUS has not been demonstrated to identify or rule out traumatic brain injury secondary to traumatic skull fracture, therefore does not replace CT/MRI cross sectional imaging.
If a child meets criteria to consider cross sectional imaging, then this should also be completed.
However, if a child has a bruise/swelling/laceration of approximately 5cm but appears clinically very well POCUS scan can be utilised as an effective tool to measure the size of the haematoma (which may be significantly less than described) and to exclude skull fracture, thereby preventing exposure to unnecessary radiation for select patients, including those for whom non-accidental trauma is unlikely.
POCUS may be less useful when scanning is difficult or if assessment is needed quickly to identify traumatic brain injury.
RADUS may be required to explore further findings which either don’t appear consistent with straightforward skull fracture or highlight any other unusual features within skin or soft tissues.
Key Points
- POCUS for suspected traumatic skull fracture may be utilised as a useful clinical tool by those with sufficient training and competence.
- POCUS should be used as an extension of clinical assessment in the diagnosis of traumatic skull fracture following injury, or in cases of head swelling taken in clinical context.
- POCUS cannot identify or rule out traumatic brain injury secondary to traumatic skull fracture and this can only be seen with CT/MRI head.
References
- Alexandridis G, Verschuuren EW, Rosendaal AV, Kanhai DA. Evidence base for point-of-care ultrasound (POCUS) for diagnosis of skull fractures in children: a systematic review and meta-analysis. Emerg Med J. 2022;39(1):30-6.
- Tang AR, Reynolds RA, Dallas J, Chen H, Haley Vance E, Bonfield CM, et al. Admission trends in pediatric isolated linear skull fracture across the United States. J Neurosurg Pediatr. 2021;28(2):183-195.
- Dehbozorgi A, Mousavi-Roknabadi RS, Hosseini-Marvast SR, Sharifi M, Sadegh R, Farahmand F, et al. Diagnosing skull fracture in children with closed head injury using point-of-care ultrasound vs. computed tomography scan. Eur J Pediatr. 2021;180:477-484.
- Filice R, Miselli F, Guidotti I, Lugli L, Palazzi G, Berardi A, et al. Identifying skull fractures after head trauma in infants with ultrasonography: is that possible? J Ultrasound. 2024;27(4):903-906.
- Preto-Zamperlini M, Weerdenburg K, Zamperlini-Netto G, Fischer JW. Point-of-Care Ultrasound Findings Associated With Langerhans Cell Histiocytosis in the Pediatric Emergency Department. J Ultrasound Med. 2016; 35(2):449-451.
Additional Resources
Poorman GW, Segreto FA, Beaubrun BM, Jalai CM, Horn SR, Bortz CA, et al. Traumatic Fracture of the Pediatric Cervical Spine: Etiology, Epidemiology, Concurrent Injuries, and an Analysis of Perioperative Outcomes Using the Kids' Inpatient Database. Int J Spine Surg. 2019;13(1):68-78.
Duhaime AC, Alario AJ, Lewander WJ, Schut L, Sutton LN, Seidl TS, Nudelman S, Budenz D, Hertle R, Tsiaras W, et al. Head injury in very young children: mechanisms, injury types, and ophthalmologic findings in 100 hospitalized patients younger than 2 years of age. Pediatrics. 1992 Aug;90(2 Pt 1):179-85. PMID: 1641278.
Black LI, Zablotsky B. Concussions and brain injuries in children: United States, 2020. NCHS Data Brief, no 423. Hyattsville, MD: National Center for Health Statistics. 2021.