August 1, 2024

Comparing Nerve Block Models: Meat Versus Vegetarian Options

Zachary Boivin, MD
Yale University
Dan Mirsch, DO, FACEP,
University at Buffalo
Javier Rosario, MD, FACEP
UCF

The use of nerve blocks in the Emergency Department has been increasing in recent years, with ACEP putting out a statement that not only are emergency physicians qualified to perform nerve blocks, but they should be learning them and incorporating them into patient care. Nerve blocks are a safe way to avoid conscious sedation, manage pain without opiates, and decrease admissions.

While there are companies who make models for nerve blocks, they are often expensive, cannot recreate the anatomy in humans, and providers are unable to inject into them without compromising the model’s integrity.

Meat Models

Meat models have been a popular DIY solution to train emergency medicine providers how to perform nerve blocks, as they show fascial planes, muscular anatomy, and allow for hydrodissection and injection without ruining the model. Another significant upside is that these models can be frozen and still maintain an appropriate ultrasound appearance. There are downsides, however, including that these models usually take at least a few hours to build, they spoil after some time, and while they can be injected, once the fascial plane is opened it affects the anatomy for the next user, making it potentially more difficult to identify. (Image 1 and 2)

NerveBlock-Image1 Aug2024.jpgImage 1. Example of POCUS performed on a meat model

NerveBlock-Image2 Aug2024.pngImage 2. Meat model on POCUS

Another downside that is not often mentioned is the number of providers who are vegetarian, and do not eat meat. These providers may be uncomfortable handling the meat model or using meat to train on.

For that reason, we explored non-meat nerve block model options, and present ultrasound images to give another option which can be offered in place of, or in addition to, meat models.

Tofu

The first medium we tried was tofu, based on a previously published model (PMID: 33023394). We focused on the nerve part of the phantom, as it uses straws filled with water/gel to have vasculature, which we know works well in DIY phantoms. Given that Tofu comes in a block, it was easy to cut it in half, and the string cheese was placed between the layers. One deviation from the initial manuscript was that a cutout into the tofu block was made to ensure the contact between tofu layers was as good as possible, as prior to that there was air between the layers. (Image 3)

NerveBlock-Image3 Aug2024.jpgImage 3. Tofu block with space cut out for string cheese, parchment paper in place

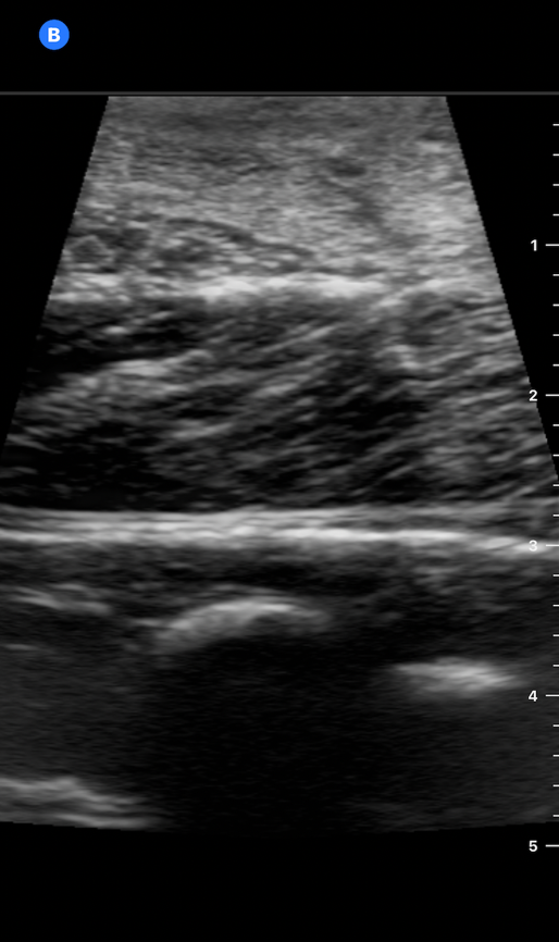
The manuscript also mentioned using parchment paper as a fascial layer, to give the “pop” one would get in a live person prior to injecting into a fascial plane. We found on our DIY phantom that the parchment paper made it difficult to see the “nerve.” When removing the parchment paper, we found improved visualization. (Image 4) Injections did not distort the anatomy, but there was no fascial plane unzippering, and the saline simply leaked out from the model. Hydrodissection, however, to help find the needle tip was possible.

NerveBlock-Image4 Aug2024.pngImage 4. Tofu block with string cheese, needle in-plane

Upsides

  • Inexpensive
  • Took < 10 minutes to make
  • The needle tracked well through the tofu block
  • Injection did not distort anatomy

Downsides

  • Unable to be frozen due to high water content
  • No fascial plane
  • Ultrasound appearance is more similar to a phantom and does not replicate human tissue

Polenta

Another medium we investigated was polenta, as it has previously been shown to be a low cost and effective ultrasound model (PMID: 26899194). We decided to use string cheese to simulate the nerve. While the initial paper referenced used precooked polenta, given its absence in many supermarkets, we attempted the recipe with cornmeal, which is the base for polenta. We boiled approximately 5-6 cups of water, and slowly poured 2 cups of cornmeal into the boiling water while continuously whisking (dumping all the cornmeal in at once will create curds of cornmeal. After the mixing is complete, pouring the polenta into containers is easy while the polenta is warm, and you can do multiple layers (ie, layer of polenta, place string cheese, and then cover with polenta). If you are placing something within the polenta, allow for a slight cooling between layers to ensure the object sits on top of the polenta instead of settling at the bottom. You can also do a solid polenta block and then cut it after cooling. (Image 5)

NerveBlock-Image5 Aug2024.jpgImage 5. Layered polenta with string cheese between layers

We found that the polenta appeared denser on POCUS than the tofu block, but the string cheese appeared similar to the tofu block, and the needle was easy to visualize in-plane. (Image 6) An injection was performed, and while it did not significantly affect visualization of structures on the phantom, it also did not show significant hydrodissection.

NerveBlock-Image6 Aug2024.pngImage 6. Polenta medium on POCUS with in-plane visualization of needle

Upsides

  • Inexpensive
  • The needle tracked well in both short and long axis
  • Injection did not distort anatomy
  • Using precooked polenta can decrease time to make

Downsides

  • Took 20 minutes to make, and ensuring no curding
  • Unable to be frozen due to high water content
  • Heavier objects may settle to bottom of phantom
  • Difficult to visualize fluid when injected
  • Ultrasound appearance is closer to that of a phantom and does not replicate human tissue

There are a variety of non-meat phantoms that can be used for nerve block training, but they have significant downsides when considering a meat model’s ability to replicate human tissue and hydrodissect fascial planes. However, offering non-meat based phantoms during nerve block training sessions may help maximize participant comfort.

[ Feedback → ]